Общество » Как проходит ультразвуковая чистка зубов и как часто её нужно делать
Новости
Лента свежих новостей

Как проходит ультразвуковая чистка зубов и как часто её нужно делать


  • 21-12-2025, 10:16
Как проходит ультразвуковая чистка зубов и как часто её нужно делать

Домашняя гигиена убирает мягкий налёт, но не всегда справляется с тем, что «приклеилось» плотнее и находится в труднодоступных местах. Налёт накапливается у линии десны, между зубами и на внутренней поверхности нижних резцов. Там слюна часто содержит больше минералов, и со временем мягкий налёт может минерализоваться и превратиться в зубной камень.

Зубной камень — это твёрдое отложение. Щёткой его не убрать. При этом он создаёт шероховатую поверхность, на которой налёту проще накапливаться снова. Такой «порочный круг» повышает риск воспаления дёсен: появляется кровоточивость, неприятный запах, дискомфорт при чистке.

Профессиональная чистка нужна не ради «белизны любой ценой». Её главная задача — убрать твёрдые и плотные отложения и сделать поверхность более гладкой. Это облегчает дальнейшую домашнюю гигиену.

Чем ультразвуковая чистка отличается от других методов

В быту под словом «чистка» часто подразумевают всё сразу: и снятие камня, и пескоструйную обработку, и полировку. На практике это разные этапы, которые могут сочетаться.

Ультразвук используют именно для удаления твёрдых отложений. Специальная насадка (скейлер) вибрирует с высокой частотой. Врач подводит её к камню, и отложение дробится и отслаивается от поверхности зуба. Одновременно подаётся вода: она охлаждает насадку и помогает вымывать частицы.

Другие методы решают другие задачи. Например, воздушно-абразивная обработка помогает убрать пигментированный налёт от кофе, чая, табака и еды с красителями. Полировка пастой делает поверхность более гладкой. Фторирование или реминерализующая обработка могут снижать чувствительность у части людей и помогают защитить эмаль после процедуры, если врач видит для этого показания.

Поэтому ультразвук — это не «вместо всего», а один из основных инструментов в профессиональной гигиене.

Что врач оценивает перед чисткой

Перед процедурой врач обычно осматривает полость рта и уточняет жалобы: есть ли кровоточивость, чувствительность, неприятный запах, ощущение «шероховатости», а также как часто вы делаете профессиональную гигиену и чем чистите зубы дома.

Дальше врач оценивает состояние дёсен и объём отложений. Важно понять, где находится налёт и камень: только над десной или частично под десной. Если есть признаки воспаления дёсен, стратегия чистки и рекомендации после могут отличаться.

Если у человека есть брекеты, импланты, коронки, виниры или другие конструкции, врач учитывает это при выборе насадок и режима работы. Для некоторых поверхностей нужны более щадящие инструменты и другая техника, чтобы не повредить материал и не перегреть ткани.

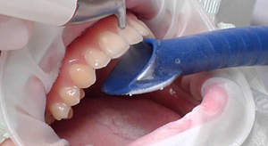
Как проходит ультразвуковая чистка зубов: пошагово

Процедура обычно начинается с подготовки: пациенту надевают защитные очки или предлагают их, ставят слюноотсос, иногда используют защитные прокладки, чтобы было комфортнее держать рот открытым.

Дальше врач снимает камень ультразвуком. Насадку ведут вдоль линии десны и по поверхности зуба. Врач работает короткими движениями и постоянно подаёт воду. На этом этапе основная цель — убрать твёрдые отложения.

Если есть налёт с пигментом, следующим шагом может быть воздушно-абразивная обработка. Её используют не всегда. Она нужна, когда есть выраженная пигментация или налёт в местах, где щётка плохо справляется. После этого врач полирует зубы пастой. Полировка важна не «для красоты», а для того, чтобы поверхность стала более гладкой и налёту было сложнее закрепляться.

В конце врач оценивает результат, иногда повторно осматривает зоны у десны и межзубные промежутки, а затем даёт рекомендации по домашнему уходу. По показаниям может нанести фторсодержащий лак или другой защитный состав. Это не обязательный этап для всех. Его необходимость зависит от чувствительности и состояния эмали.

Больно ли во время процедуры и какие ощущения считать нормальными

У большинства людей ультразвуковая чистка зубов переносится без выраженной боли. Чаще описывают ощущения как вибрацию, холод от воды и «скрежет». Неприятнее всего бывает в двух ситуациях: если камня много и он заходит под десну, а также если у человека уже есть повышенная чувствительность оголённых участков у десны.

Если есть воспаление, ткани реагируют сильнее. Тогда во время чистки может быть дискомфорт и небольшая кровоточивость. Это не обязательно означает, что врач «делает больно». Часто это проявление исходной проблемы: воспалённая десна более хрупкая и кровоточит легче.

При выраженном дискомфорте врач может предложить местную анестезию. Это решают индивидуально. Важно не терпеть молча: если боль сильная, лучше сразу сказать, чтобы врач скорректировал технику или обезболил зону.

Возможные побочные эффекты после чистки

После процедуры возможны чувствительность к холодному и сладкому, лёгкая болезненность дёсен и ощущение, что между зубами «стало больше места». Последнее связано с тем, что камень и налёт занимали объём, а после их удаления промежутки стали ощущаться иначе.

Чувствительность обычно временная и проходит по мере адаптации тканей и восстановления защитного слоя слюны на эмали. Если чувствительность выраженная и не уменьшается в течение нескольких дней, стоит обратиться к врачу: иногда причина в оголённых корнях, микротрещинах эмали или в том, что человеку нужна корректировка домашней гигиены и пасты для чувствительных зубов.

Кровоточивость дёсен после чистки также может сохраняться короткое время, особенно если воспаление было до процедуры. Обычно она уменьшается по мере улучшения гигиены. Если кровоточивость нарастает или появляется сильный отёк, это повод для повторного осмотра.

Кому чистку делают чаще, а кому — реже

Универсального правила «всем раз в полгода» нет. Частота зависит от того, как быстро у человека образуется налёт и камень, и от состояния дёсен.

Чаще профессиональную гигиену рекомендуют тем, у кого быстро образуется камень, есть кровоточивость или диагностированное воспаление дёсен, а также тем, кто носит брекеты или другие ортодонтические конструкции. В этих ситуациях налёт копится быстрее из-за сложной анатомии и дополнительных элементов, вокруг которых труднее чистить.

Более частый контроль может быть нужен курящим людям и тем, кто регулярно пьёт напитки с красителями. Здесь речь не только об эстетике. Плотный налёт чаще становится «платформой» для воспаления дёсен. Также чаще чистку назначают людям с имплантами и коронками, потому что вокруг конструкций важно поддерживать стабильную гигиену и вовремя замечать воспаление.

Реже чистку могут делать людям с хорошей гигиеной и низкой склонностью к образованию камня, если дёсны здоровы и врач не видит отложений на осмотре. Тогда контрольный интервал может быть больше.

Самый прагматичный подход — определить индивидуальную частоту по результатам осмотра: врач смотрит динамику, и уже по ней предлагает график.

Как понять, что вам пора на чистку

Есть несколько признаков, которые часто указывают на накопление отложений. Это шероховатость зубов у десны, неприятный запах, кровоточивость при чистке или нити, ощущение «грязной полоски» на внутренней стороне нижних зубов.

Но важно помнить: отсутствие симптомов не всегда значит, что всё идеально. Камень может быть и без боли. Поэтому ориентироваться только на ощущения — не всегда надёжно. Если вы давно не были у стоматолога, разумно прийти хотя бы на осмотр и оценку гигиены.

Как подготовиться к процедуре

Специальной сложной подготовки обычно не требуется. Достаточно поесть заранее, чтобы не приходить голодным, и почистить зубы как обычно. Если вы переживаете из-за рвотного рефлекса или сложно долго держать рот открытым, лучше предупредить врача до начала процедуры — так проще подобрать удобный темп и инструменты.

Важно сообщить врачу о хронических заболеваниях, беременности, приёме лекарств и аллергиях. Эти данные помогают спланировать процедуру и рекомендации после. Если у вас есть импланты, ортодонтические конструкции или недавно была операция в полости рта, это тоже нужно сказать заранее.

Если вы планируете важную встречу в тот же день, стоит учитывать, что после чистки дёсны могут быть чуть раздражены, а зубы — чувствительны. Обычно это не мешает, но иногда человеку комфортнее запланировать процедуру на свободный день.

Что делать после чистки: уход, питание, привычки

После профессиональной гигиены важно поддержать результат домашним уходом. Если вы продолжите чистить зубы «как раньше», но раньше гигиена была недостаточной, камень и воспаление вернутся быстрее.

В первые сутки у части людей повышается чувствительность. Тогда полезно избегать очень холодной и очень горячей еды и напитков. Если проводилась воздушно-абразивная обработка, врач может рекомендовать на 24–48 часов ограничить продукты с яркими красителями, чтобы снизить риск временного окрашивания налёта, который может быстро сформироваться при плохой гигиене.

Важнее всего — ежедневная гигиена. Обычно она включает чистку два раза в день, очистку межзубных промежутков нитью или ёршиками и подбор средств с учётом чувствительности и состояния дёсен. Универсального набора нет. Кому-то нужна мягкая щётка и паста для чувствительных зубов, кому-то — ёршики определённого размера, а кому-то — ирригатор как дополнительный инструмент. Лучше, когда средства подбирает врач или гигиенист после оценки ваших промежутков и навыков.

Распространённые страхи и мифы

Иногда люди боятся, что ультразвук «стачивает эмаль» или «расшатывает зубы». При корректной технике задача ультразвука — убрать отложение, а не «снять слой зуба». Эмаль твёрже зубного камня и не должна «соскребаться» как мел. Риск повреждения повышается, если работать неправильно или слишком агрессивно, поэтому качество процедуры зависит от специалиста и соблюдения протоколов.

Ещё один страх — что после чистки зубы становятся «слабее», потому что появляется чувствительность. Чувствительность чаще объясняется тем, что убрали камень и оголились участки у десны, которые до этого были закрыты отложениями. Это не ухудшение, а обнаружение реального состояния тканей. В такой ситуации полезнее не «не чистить», а разобраться с причинами оголения и подобрать средства для снижения чувствительности.

Иногда ожидают, что чистка заменит лечение кариеса или воспаления дёсен. Это разные задачи. Чистка помогает убрать фактор риска — налёт и камень, но она не лечит кариес и не «закрывает» дефекты эмали. Если врач на осмотре видит кариес, потребуется отдельный план лечения.

Сколько длится процедура и от чего это зависит

Время зависит от объёма отложений, чувствительности пациента, наличия брекетов, имплантов и других конструкций, а также от того, какие этапы входят в процедуру. У кого-то чистка занимает около получаса, у кого-то — дольше, особенно если нужно тщательно обработать зоны под десной и провести дополнительную полировку.

Если вы давно не делали профессиональную гигиену и камня много, процедура может занять больше времени. Иногда врач предлагает разделить её на два визита, если дёсны сильно воспалены и человеку сложно перенести длительную обработку за один раз.

Как сохранить эффект на дольше

Профессиональная чистка — это стартовая точка. Дальше результат зависит от домашней гигиены и регулярности контроля. Самый эффективный способ «делать реже» — чистить лучше. Когда налёта меньше, камень образуется медленнее, дёсны воспаляются реже, а визиты к врачу становятся профилактическими, а не вынужденными.

Если вы хотите объективно понять, насколько хорошо очищаете зубы, можно попросить врача показать проблемные зоны. Иногда это делают с помощью индикатора налёта. Он окрашивает остатки налёта, и становится видно, где вы регулярно пропускаете участки. Это помогает не покупать «самые дорогие средства», а улучшить технику.

Частота профессиональной гигиены должна быть не «по привычке», а по показаниям. Оптимальный график тот, при котором зубной камень не успевает накопиться до уровня, когда дёсны начинают воспаляться. Это индивидуально, и лучше, когда его определяют по вашему реальному состоянию, а не по универсальной цифре.



Поделись с друзьями:
Нравится
Похожие публикации
Как часто нужно менять струны и саму ракетку при регулярных тренировках Как часто нужно менять струны и саму ракетку при регулярных тренировках
Выбор конференц-зала для мероприятий: на что смотреть в первую очередь Выбор конференц-зала для мероприятий: на что смотреть в первую очередь
Новые требования к утилизации для бизнеса: приём вторсырья, отчётность по Р ... Новые требования к утилизации для бизнеса: приём вторсырья, отчётность по Р ...
Ремонт рольставней своими руками: практические подходы к восстановлению Ремонт рольставней своими руками: практические подходы к восстановлению
Удаление зуба мудрости: от подготовки до полного восстановления без осложне ... Удаление зуба мудрости: от подготовки до полного восстановления без осложне ...


Новый Комментарий:
Ваше Имя:
Ваш E-Mail:

Введите два слова, показанных на изображении: